对于X线ã€CTã€Bè¶…ã€æ ¸ç£å…±æŒ¯è¿™äº›å¸¸ç”¨çš„å½±åƒå¦æ£€æŸ¥ï¼Œå¾ˆå¤šäººåˆ†ä¸æ¸…æ¥šã€‚çŽ°åœ¨ï¼Œæˆ‘ä»¬æŠŠèº«ä½“æ¯”ä½œé£Ÿç‰©ï¼Œå‘Šè¯‰ä½ è¿™äº›æ£€æŸ¥å¦‚ä½•å‘æŒ¥ä¸åŒçš„作用。
X线: åƒæŠŠé¢åŒ…压æ‰äº†çœ‹

X线会穿过人体,é‡åˆ°è¢«é®æŒ¡çš„部ä½ï¼Œåº•片上ä¸ä¼šæ›å…‰ï¼Œæ´—片åŽè¿™ä¸ªéƒ¨ä½å°±æ˜¯ç™½è‰²çš„。就åƒä¸€ç‰‡é¢åŒ…æˆ–ä¸€å—æ£‰èŠ±ï¼Œçœ‹ä¸åˆ°é‡Œé¢çš„纤维纹ç†ï¼Œä½†ç”¨æ‰‹åŽ‹ç˜ªäº†ä¼šæ¸…æ™°ä¸€äº›ã€‚X线最大缺点是å—制于深浅组织的影åƒç›¸äº’é‡å å’Œéšè—,有时需è¦å¤šæ¬¡å¤šè§’åº¦æ‹æ‘„X线片。
CT: åƒæŠŠé¢åŒ…切片看
CTçš„æ£€æŸ¥åŽŸç†æ˜¯X线会分层穿过人体,之åŽé€šè¿‡ç”µè„‘计算åŽäºŒæ¬¡æˆåƒï¼Œå°±åƒæŠŠä¸€ç‰‡é¢åŒ…切æˆç‰‡æ¥çœ‹ã€‚优点是å¯ä»¥åˆ†å±‚看,ç»è®¡ç®—åŽå¯ä»¥æ˜¾ç¤ºå‡ºæ›´å¤šçš„组织信æ¯ã€‚
B超: åƒæŒ‘è¥¿ç“œå‰æ•²ä¸€æ•²
Bè¶…çš„åŽŸç†æ˜¯ç”¨è¶…声波穿é€äººä½“,当声波é‡åˆ°äººä½“组织时会产生å射波,通过计算åå°„æ³¢æˆåƒã€‚å°±åƒæŒ‘è¥¿ç“œä¸€æ ·ï¼Œè¾¹æ•²è¾¹çœ‹æ˜¾ç¤ºç—…ç¶æƒ…况。
æ ¸ç£å…±æŒ¯ï¼š 摇一摇å†çœ‹
æ ¸ç£å…±æŒ¯æœºä½¿ç”¨è¾ƒå¼ºå¤§çš„ç£åœºï¼Œä½¿äººä½“䏿‰€æœ‰æ°´åˆ†åç£åœºçš„ç£åŠ›çº¿æ–¹å‘一致,这时ç£å…±æŒ¯æœºçš„ç£åœºçªç„¶æ¶ˆå¤±ï¼Œèº«ä½“䏿°´åˆ†åçš„ç£åŠ›çº¿æ–¹å‘,çªç„¶æ¢å¤åˆ°åŽŸæ¥éšæ„æŽ’åˆ—çš„çŠ¶æ€ã€‚简å•è¯´ï¼Œå°±ç›¸å½“äºŽç”¨æ‰‹æ‘‡ä¸€æ‘‡ï¼Œè®©æ°´åˆ†åæŒ¯åŠ¨èµ·æ¥ï¼Œå†å¹³é™ä¸‹æ¥ï¼Œæ„Ÿå—一下里é¢çš„æŒ¯åŠ¨ã€‚æ‰€ä»¥ï¼Œæ ¸ç£å…±æŒ¯ä¹Ÿè¢«æˆè¯´ä¸ºæ˜¯æ‘‡æ‘‡çœ‹çš„æ£€æŸ¥ã€‚
å››ç§æ–¹å¼åˆ†åˆ«é€‚ç”¨äºŽä½•ç§æ£€æŸ¥?
就诊时,医生常会开å„ç§å„æ ·çš„å½±åƒå¦æ£€æŸ¥å•:超声ã€CTã€æ ¸ç£â€¦â€¦ä¸å°‘患者质疑医生故æ„开高价检查å•ã€‚å…¶å®žï¼ŒåŒ»ç”Ÿæ˜¯ä¾æ®ä¸åŒç—…情选ä¸åŒå½±åƒæ£€æŸ¥çš„。
1 ã€å¤–伤骨头——粗看X线片,细看CTï¼Œæ ¸ç£çœ‹ä¸æ¸…

å„ç§å¤–伤,如果怀疑伤到了骨头,优先选择X光照片,检查结果快速易得。若è¦è¿›ä¸€æ¥è§‚察,å¯ä»¥é€‰æ‹©CTã€‚è¶…å£°ã€æ ¸ç£å¯¹äºŽéª¨çš®é«“è´¨ç‰çœ‹ä¸æ¸…,一般ä¸é€‰æ‹©ã€‚
ï¼’ ã€é¢ˆæ¤Žè…°æ¤Žâ€”â€”æœ€ä½³é€‰æ ¸ç£ï¼Œæ¬¡é€‰CT

颈椎病ã€è…°æ¤Žé—´ç›˜çªå‡ºç‰æ¤Žé—´ç›˜ç–¾ç—…需è¦è§‚å¯Ÿæ¤Žé—´ç›˜ä¸Žç›¸åº”çš„ç¥žç»æ ¹ï¼Œè¦æƒ³æ›´å¥½è§‚å¯Ÿè¿™äº›è½¯ç»„ç»‡ï¼Œæœ€ä¼˜é€‰æ‹©å°±æ˜¯æ ¸ç£ã€‚åŒæ ·ï¼Œå¯¹äºŽå…³èŠ‚ã€è‚Œè‚‰ã€è„‚è‚ªç»„ç»‡æ£€æŸ¥ï¼Œæ ¸ç£ä¹Ÿæ˜¯é¦–选。
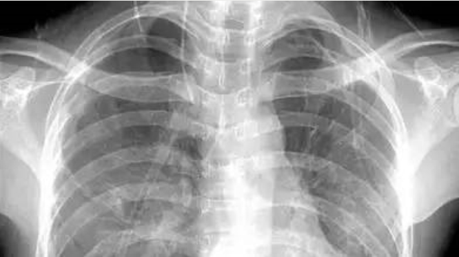
3〠胸部——粗看X线片,细看CT,看肺尽é‡ä¸è¦é€‰æ ¸ç£ï¼ˆå 使€§ç—…å˜çœ‹å¼¥æ•£æ˜¯å¦å—é™é™¤å¤–)

X线胸片å¯ç²—略检查心è„ã€ä¸»åŠ¨è„‰ã€è‚ºã€èƒ¸è†œã€è‚‹éª¨ç‰ï¼Œå¯ä»¥æ£€æŸ¥æœ‰æ— 肺纹ç†å¢žå¤šã€è‚ºéƒ¨é’™åŒ–点ã€ä¸»åŠ¨è„‰ç»“é’™åŒ–ç‰ã€‚
胸部CTæ£€æŸ¥æ˜¾ç¤ºå‡ºçš„ç»“æž„æ›´æ¸…æ™°ï¼Œå¯¹èƒ¸éƒ¨ç—…å˜æ£€å‡ºæ•感性和显示病å˜çš„准确性å‡ä¼˜äºŽå¸¸è§„X线胸片,特别是对于早期肺癌确诊有决定性æ„义。但是CT检查的è¾å°„剂é‡é«˜äºŽXçº¿ã€‚æ ¸ç£å¯¹äºŽè‚ºéƒ¨ç–¾ç—…的诊æ–,应用éžå¸¸æœ‰é™ã€‚
ï¼”ã€ è…¹éƒ¨ç›†è…”â€”â€”é™¤è‚ é“外,一般超声都能检查
腹腔器官å—呼å¸å½±å“较大,进而影å“到CTã€æ ¸ç£æˆåƒï¼Œè€Œè¶…声ä¸ä¼šå› æ¤å—å½±å“ã€‚åŒæ—¶ï¼Œè¶…声对è‚è„ã€è„¾è„ã€èƒ°è…ºã€è‚¾è„ã€ç›†è…”ç‰å™¨å®˜è¯Šæ–准确率较高。
ä½†æ˜¯è¶…å£°å—æ°”ä½“å¹²æ‰°å¾ˆå¤§ï¼Œå¯¹äºŽè‚ é“ç‰å«æ°”较多的器官,超声诊æ–准确率会é™ä½Žã€‚
5 ã€å¿ƒè„â€”â€”æŽ’é™¤å† å¿ƒç—…ç”¨CT,看心功能用超声
常规的心è„结构与功能检查,心è„彩超所æä¾›çš„ä¿¡æ¯å·²ç»è¾ƒä¸ºå……分,åˆç®€å•易行。
用CT坿£€æŸ¥å† çŠ¶åŠ¨è„‰ï¼Œä½†å† è„‰CT检查è¾å°„é‡è¾ƒå¤§ï¼Œä¸é€‚åˆä½œä¸ºå¸¸è§„ä½“æ£€ã€‚æ ¸ç£è™½æ— 电ç£è¾å°„ï¼Œä½†å¯¹å† çŠ¶åŠ¨è„‰çš„è§‚å¯Ÿä¸åŠCTã€‚å¿ƒè„æ ¸ç£åˆ™æ˜¯è¯„价心è„ç»“æž„å’ŒåŠŸèƒ½çš„â€œé‡‘æ ‡å‡†â€ã€‚
æ–‡ _ å”芳